La clave de la pérdida de olfato por el covid está en el cerebro

SOCIEDAD · Exclusivo suscriptores

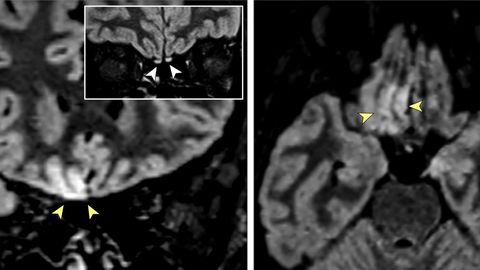
Imágenes obtenidas por resonancia magnética en las que los especialistas señalan alteraciones en la zona del cerebro asociada a la percepción del olfato
Imágenes obtenidas por resonancia magnética en las que los especialistas señalan alteraciones en la zona del cerebro asociada a la percepción del olfato JAMA

Un estudio asegura que se debe a una alteración cerebral y no a la congestión nasal de los enfermos

08 jun 2020 . Actualizado a las 11:49 h.

Un artículo publicado en la revista JAMA  (Journal of the American Medical Association) por el neurorradiólogo italiano Letterio S. Politi aporta por primera vez indicios sólidos de que una alteración cerebral generada por el covid-19 estaría detrás de


Contenido exclusivo para suscriptores
Continúa leyendo con un 90% dto.
Suscripción WEB 1€/mes durante 6 meses Quiero la oferta