Huéspedes del ser humano Con los microbios a cuestas La tiña y otros habitantes –poco amistosos– del planeta cuerpo
Lunes, 23 de Enero 2023, 15:52h
Tiempo de lectura: 5 min
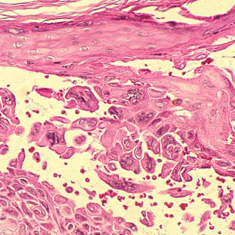
La barba, los pies, las ingles y el cuero cabelludo. Por ahí nos ataca la tiña, esa enfermedad altamente transmisible que se extiende últimamente por algunas peluquerías españolas. Solo en aquellas, matizan desde el sector, que no son lo suficientemente estrictas con la higiene de sus máquinas de rasurar.
Contenido exclusivo para suscriptores
La Voz
Suscríbete
para seguir leyendo
Lee sin límites toda la información, recibe newsletters exclusivas, accede a descuentos en las mejores marcas y muchas más ventajas
-
1 La abuela 'MAGA': la jubilada que asaltó el Capitolio y ahora se enfrenta a Trump
-
2 El papa tranquilo... y tenaz: los momentos más relevantes del inicio de su pontificado
-
3 Pódcast | «Yo nací en Mauthausen», la escalofriante historia de los bebés en los campos de exterminio
-
4 ¿Por qué ha quebrado Roomba? La caída del gigante de las aspiradoras robot
-
5 Pódcast | La macabra guerra sucia de las corrientes eléctricas que promovió Edison

